Prathab Muniyandi, 33 tuổi, người Malaysia, đã ghi tên vào Sách kỷ lục Guinness thế giới nhờ một đặc điểm khác thường: anh ta có 42 chiếc răng, nhiều hơn 10 chiếc so với người bình thường.
Theo Muniyandi, anh bắt đầu nghi ngờ có điều gì đó không ổn với răng của mình vài năm trước. Anh nhận thấy điều đó lần đầu tiên vào năm 2021, khi đang uống trà với gia đình, anh nói với người thân rằng dường như anh có thêm răng mọc.
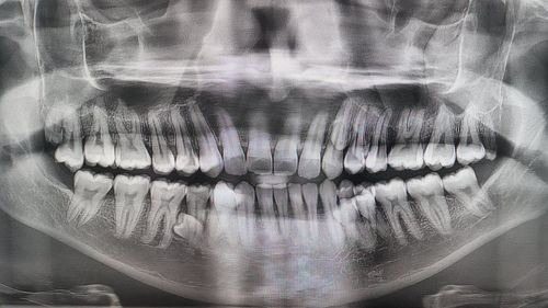
Gia đình anh quyết định kiểm tra và đếm chúng. Sau đó, người ta phát hiện ra anh có 38 chiếc răng. Sau đó, chụp X-quang răng cho thấy anh có thêm bốn chiếc răng nữa trong hàm chưa mọc. Đến đầu năm 2023, rõ ràng là anh có 42 chiếc răng.
Mặc dù cấu trúc hàm bất thường, Muniyandi nói rằng những chiếc răng thừa không gây ra bất kỳ vấn đề gì cho anh. Trên thực tế, hầu hết mọi người thậm chí không nhận thấy sự khác biệt cho đến khi anh nói với họ.
Khi mọi người biết ông ấy có nhiều hơn 10 chiếc răng so với hầu hết mọi người (người trưởng thành trung bình có 32 chiếc), họ thường phản ứng với sự hoài nghi và ngạc nhiên.
Trong một cuộc kiểm tra để xác nhận kỷ lục của ông, các nha sĩ đã tiết lộ một thông tin đáng ngạc nhiên khác: ông ấy còn có thêm hai chiếc răng nữa trong hàm chưa mọc.
Như vậy, Muniandy chính thức giành được danh hiệu người đàn ông có nhiều răng nhất. Kỷ lục dành cho nữ thuộc về Kalpana Balan của Ấn Độ, người có 38 chiếc răng.
Chính người nắm giữ kỷ lục thừa nhận ông rất vinh dự khi đạt được thành tích phi thường này. Ông nói rằng việc nhận ra mình đã lập kỷ lục thế giới khiến ông thực sự hạnh phúc.
